NSJ Bioreagents
SKU:V4897SAF-100UG
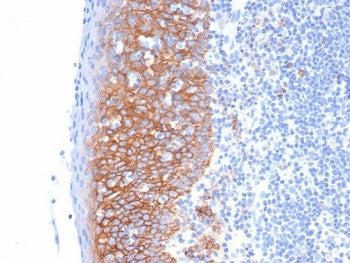
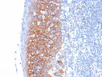
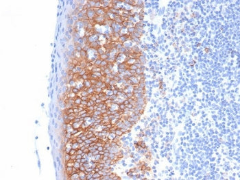
Syndecan-1 Antibody / CD138
Syndecan-1 Antibody / CD138
Couldn't load pickup availability
CD138, also designated syndecan-1, is a member of the syndecan family of four transmembrane spanning proteins capable of binding to heparan sulfate and chondroitin sulfate molecules. The syndecans main functions are to control cell growth and differentiation as well as to maintain cell adhesion and cell migration. Under normal conditions CD138 is predominantly expressed on mature plasma cells and early preB-cells, while other haematolymphoid cells are negative. Various types of epithelial cells are also CD138 positive. Squamous epithelial cells show strong membranous and some cytoplasmic staining, except for the mature superficial squamous epithelial cells which are unstained. Mature mesenchymal and neural tissues are not stained. Among haematolymphoid neoplasms, CD138 is expressed in practically all cases of plasma cell malignancies. Among non-haematolymphoid neoplasms the expression of CD138 is found in various types of carcinoma.
Share
