NSJ Bioreagents
SKU:V2774-20UG
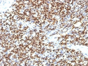
PAX7 Antibody
PAX7 Antibody
Couldn't load pickup availability
The Pax gene family of nuclear transcription factors is comprised of nine members that function during embryogenesis to regulate the temporal and position-dependent differentiation of cells. In addition, the family is involved in a variety of signal transduction pathways in the adult organism. Mutations in the Pax family of proteins have been linked to disease and cancer in humans. Pax-7 is a protein specifically expressed in cultured satellite cell-derived myoblasts. In situ hybridization reveals that Pax-7 is also expressed in satellite cells residing in adult muscle. A chromosomal aberration in the gene encoding Pax-7 causes rhabdomyosarcoma 2 (RMS2) (also called alveolar rhabdomyosarcoma).
Share
