1
/
of
1
NSJ Bioreagents
SKU:RQ5018
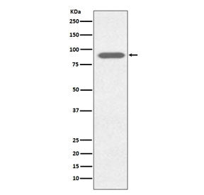
Lactoferrin Antibody / LTF
Lactoferrin Antibody / LTF
Regular price
$439.00 USD
Regular price
Sale price
$439.00 USD
Unit price
/
per
Shipping calculated at checkout.
Couldn't load pickup availability
Lactotransferrin is a major iron-binding and multifunctional protein found in exocrine fluids such as breast milk and mucosal secretions. [UniProt]
Share
