1
/
of
1
NSJ Bioreagents
SKU:R34544-100UG
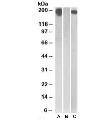
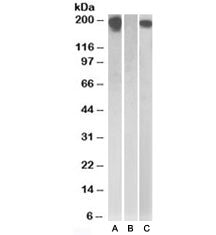
CSF1R Antibody
CSF1R Antibody
Regular price
$449.00 USD
Regular price
Sale price
$449.00 USD
Unit price
/
per
Shipping calculated at checkout.
Couldn't load pickup availability
Additional name(s) for this target protein: Colony stimulating factor 1 receptor
Share
