1
/
of
1
NSJ Bioreagents
SKU:R34035-100UG
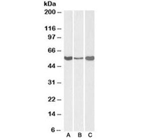
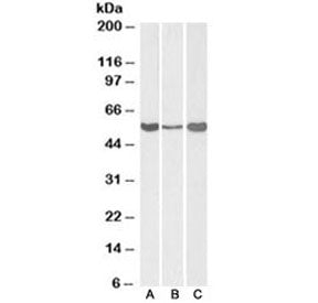
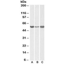
ALDH1A1 Antibody
ALDH1A1 Antibody
Regular price
$449.00 USD
Regular price
Sale price
$449.00 USD
Unit price
/
per
Shipping calculated at checkout.
Couldn't load pickup availability
Additional name(s) for this target protein: Aldehyde dehydrogenase 1 family, member A1
Share
