Dbiosys
SKU:Mob069R
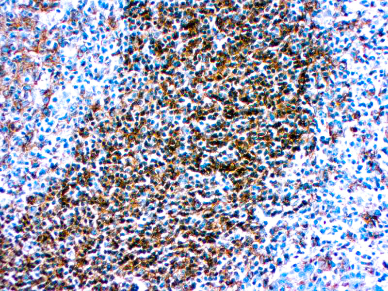
HLA-DR (β chain of DP, DQ & DR)
HLA-DR (β chain of DP, DQ & DR)
Couldn't load pickup availability
Reacts with a common epitope of human major histocopatibility (MHC) class II antigens, HLA-DP, -DQ and -DR. Human MHC Class II antigens are transmembrane glycoprotiens composed of an □ chain (36kDa) and a □ chain (27kDa). They are expressed primarily on antigen presenting cells such as B lymphocytes, monocytes, macrophages, and thymic epithelial cells and are also present on activated T lymphocytes. Human MHC class II genes are located in the HLA-D region that encodes at least six □ and ten □chain genes. Three loci, DR, DQ, and DP, encode the major expressed products of the human class II region. The human MHC class II molecules bind intracellularly processed peptides and present them to T-helper cells. They, therefore, have a critical role in the intiation of the immune response. It has been shown that some autoimmune diseases are associated with certain class II alleles.
Share
