1
/
of
1
NSJ Bioreagents
SKU:F50185-0.08ML
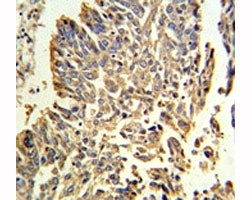
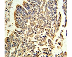
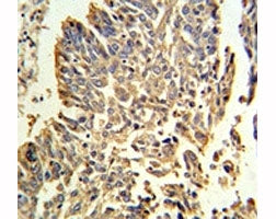
HSP27 Antibody (HSPB1)
HSP27 Antibody (HSPB1)
Regular price
$199.00 USD
Regular price
Sale price
$199.00 USD
Unit price
/
per
Shipping calculated at checkout.
Couldn't load pickup availability
HSP27 is a chaperone of the sHsp (small heat shock protein) group among ubiquitin, α-crystallin, Hsp20 and others. The common functions of sHsps are chaperone activity, thermotolerance, inhibition of apoptosis, regulation of cell development, and cell differentiation. They also take part in signal transduction. [Wiki]
Share
