1
/
of
1
Abclonal
SKU:A6201
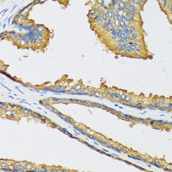
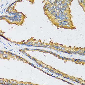
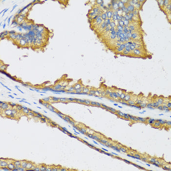
CXCL11 Rabbit pAb
CXCL11 Rabbit pAb
Regular price
$298.00 USD
Regular price
Sale price
$298.00 USD
Unit price
/
per
Shipping calculated at checkout.
Couldn't load pickup availability
Share
