FineTest
SKU:FNab07576
anti- SACM1L antibody
anti- SACM1L antibody
Couldn't load pickup availability
anti- SACM1L antibody
Product Name
SACM1L antibody
Size
100µg
Form
liquid
Purification
Immunogen affinity purified
Purity
≥95% as determined by SDS-PAGE
Host
Rabbit
Clonality
polyclonal
Isotype
IgG
Storage
PBS with 0.02% sodium azide and 50% glycerol pH 7.3, -20℃ for 12 months(Avoid repeated freeze / thaw cycles.)
BACKGROUND
Phosphoinositide phosphatase that hydrolyzes phosphatidylinositol 3-phosphate(PtdIns(3)P) and phosphatidylinositol 4-phosphate(PtdIns(4)P)(PubMed:24209621). Has low activity towards PtdIns(3,5)P2(By similarity).
IMMUNOGEN INFORMATION
Immunogen
SAC1 suppressor of actin mutations 1-like
Synonyms
KIAA0851, SAC1, SACM1L
Observed MW
60-67 kDa
APPLICATION
Tested Application
ELISA, WB, IHC, IP, IF
Recommended Dilution
WB: 1:500-1:2000; IP: 1:500-1:2000; IHC: 1:20-1:200; IF: 1:50-1:500
UNIPROT INFORMATION
UniProt ID
IMAGES

Immunohistochemistry of paraffin-embedded human brain using FNab07576(SACM1L antibody) at dilution of 1:100

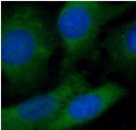
Immunofluorecent analysis of A549 cells using FNab07576(SACM1L antibody) at dilution of 1:50

IP result of SACM1L antibody(IP: FNab07576, 3μg; Detection: FNab07576, 1:1000) with mouse kidney tissue lysate 3000μg.

human kidney tissue were subjected to SDS PAGE followed by western blot with FNab07576(SACM1L antibody) at dilution of 1:1000
Share
