1
/
of
1
ELK Biotechnology
SKU:ES5862
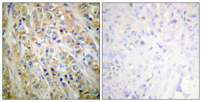
PSA rabbit pAb
PSA rabbit pAb
Regular price
$250.00 USD
Regular price
Sale price
$250.00 USD
Unit price
/
per
Shipping calculated at checkout.
Couldn't load pickup availability
Applications: WB;IHC;IF;ELISA
Reactivity: Human;Rat;Mouse;
Source: Rabbit
Dilution: Western Blot: 1/500 - 1/2000. Immunohistochemistry: 1/100 - 1/300. Immunofluorescence: 1/200 - 1/1000. ELISA: 1/20000. Not yet tested in other applications.
Immunogen: The antiserum was produced against synthesized peptide derived from human Prostate-specific Antigen. AA range:81-130
Storage_stability: -20°C/1 year
Clonality: Polyclonal
Isotype: IgG
Concentration: 1 mg/ml
Observed_band(KD): 34kD
Human_gene_id: 354
Human_swiss_prot_no: P07288
Subcellular_location: Secreted.
Other_name: KLK3; APS; Prostate-specific antigen; PSA; Gamma-seminoprotein; Seminin; Kallikrein-3; P-30 antigen; Semenogelase
Background: Kallikreins are a subgroup of serine proteases having diverse physiological functions. Growing evidence suggests that many kallikreins are implicated in carcinogenesis and some have potential as novel cancer and other disease biomarkers. This gene is one of the fifteen kallikrein subfamily members located in a cluster on chromosome 19. Its protein product is a protease present in seminal plasma. It is thought to function normally in the liquefaction of seminal coagulum, presumably by hydrolysis of the high molecular mass seminal vesicle protein. Serum level of this protein, called PSA in the clinical setting, is useful in the diagnosis and monitoring of prostatic carcinoma. Alternate splicing of this gene generates several transcript variants encoding different isoforms. [provided by RefSeq, Jul 2008],
Reactivity: Human;Rat;Mouse;
Source: Rabbit
Dilution: Western Blot: 1/500 - 1/2000. Immunohistochemistry: 1/100 - 1/300. Immunofluorescence: 1/200 - 1/1000. ELISA: 1/20000. Not yet tested in other applications.
Immunogen: The antiserum was produced against synthesized peptide derived from human Prostate-specific Antigen. AA range:81-130
Storage_stability: -20°C/1 year
Clonality: Polyclonal
Isotype: IgG
Concentration: 1 mg/ml
Observed_band(KD): 34kD
Human_gene_id: 354
Human_swiss_prot_no: P07288
Subcellular_location: Secreted.
Other_name: KLK3; APS; Prostate-specific antigen; PSA; Gamma-seminoprotein; Seminin; Kallikrein-3; P-30 antigen; Semenogelase
Background: Kallikreins are a subgroup of serine proteases having diverse physiological functions. Growing evidence suggests that many kallikreins are implicated in carcinogenesis and some have potential as novel cancer and other disease biomarkers. This gene is one of the fifteen kallikrein subfamily members located in a cluster on chromosome 19. Its protein product is a protease present in seminal plasma. It is thought to function normally in the liquefaction of seminal coagulum, presumably by hydrolysis of the high molecular mass seminal vesicle protein. Serum level of this protein, called PSA in the clinical setting, is useful in the diagnosis and monitoring of prostatic carcinoma. Alternate splicing of this gene generates several transcript variants encoding different isoforms. [provided by RefSeq, Jul 2008],
Share
