Skip to product information
1 of 1

Cusabio

SKU:CSB-PA009711LA01HU

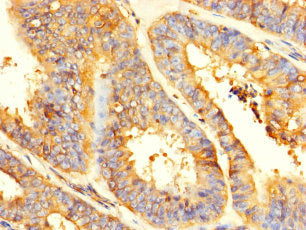
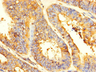
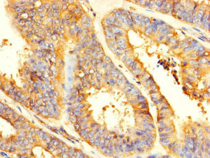
GPD2 Antibody

GPD2 Antibody

Regular price $299.00 USD
Regular price Sale price $299.00 USD
Sale Sold out
Shipping calculated at checkout.
Size
Aliases: GDH2; Glycerol 3 phosphate dehydrogenase 2 (mitochondrial); Glycerol 3 phosphate dehydrogenase 2; Glycerol 3 phosphate dehydrogenase mitochondrial; Glycerol-3-phosphate dehydrogenase; GPD 2; GPD M; GPD-M; gpd2; GPDH M; GPDH-M; GPDM; GPDM_HUMAN; mGPDH; mitochondrial; Mitochondrial glycerophosphate dehydrogenase; mtGPD; OTTHUMP00000162788; OTTHUMP00000204452; OTTHUMP00000204453; OTTHUMP00000204458
Antibody Type: Polyclonal Antibody
Antigen Species: Human
Uniprot ID: P43304
Antigen: Recombinant Human Glycerol-3-phosphate dehydrogenase, mitochondrial protein (43-727AA)
Host Species: Rabbit
Species Reactivity: Human
Tested Applications: ELISA, IHC; Recommended dilution: IHC:1:20-1:200
Clonality: Polyclonal
Isotype: IgG
Purification Method: Protein G purification
Conjugate: Non-conjugated
Buffer: 0.03% Proclin 300, 50% glycerol, 0.01M PBS, pH 7.4.
Form: Liquid
Stroage: Upon receipt, store at -20°C or -80°C. Avoid repeated freeze.
Target Name: GPD2
Research Area: Tags & Cell Markers
View full details