Introducing Croyez saRNA-GFP: Bright, Long-Lasting Expression

Introducing Croyez saRNA-GFP: Bright, Long-Lasting Expression

We’re excited to introduce our latest self-amplifying RNA (saRNA) product: saRNA-GFP – engineered for exceptional longevity and signal intensity in mammalian cells.

✨ Key Features

  • 💡 Up to 24 Days of GFP Expression from a single transfection
  • 🔁 Powered by replicase genes nsP1–nsP4 for intracellular RNA amplification
  • 🧫 Ideal for live-cell imaging, gene expression analysis, and RNA delivery evaluation

🧪 Technical Highlights

  • mRNA Length: 8,476 nt
  • Cap Structure: Cap 1
  • Modification: Unmodified bases
  • Purity: Verified by FPLC analysis
  • Cell Line Compatibility: Proven in BHK21 and other mammalian cells

🔬 Applications

  • Live-cell fluorescence tracking for up to 24 days
  • Co-expression studies with other fluorescent mRNAs (e.g., mCherry)
  • Functional RNA delivery via transfection, electroporation, or microinjection
  • In vitro transcription/translation efficiency testing

🎯 Fluorescence Specs

  • Excitation: 488 nm
  • Emission: 509 nm
  • Compatible with standard GFP filters (470–490 nm / 510–530 nm)

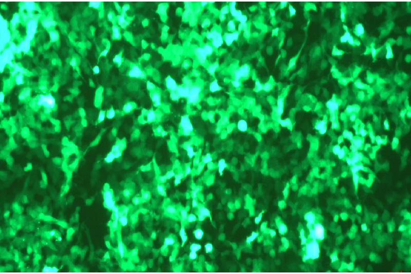
📈 24 Days of Expression — A New Benchmark

Unlike conventional mRNAs, saRNA-GFP maintains strong fluorescence signals across multiple days post-transfection. Ideal for long-term dynamic imaging.

✓ Day 2  ✓ Day 6  ✓ Day 9  ✓ Day 13  ✓ Day 18  ✓ Day 21  ✓ Day 24

GFP fluorescence over 24 days

Back to blog